症例Cases
審美歯科
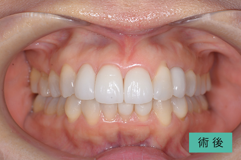
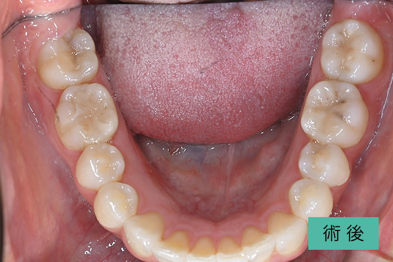
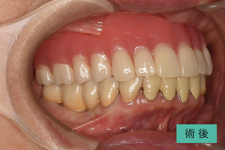
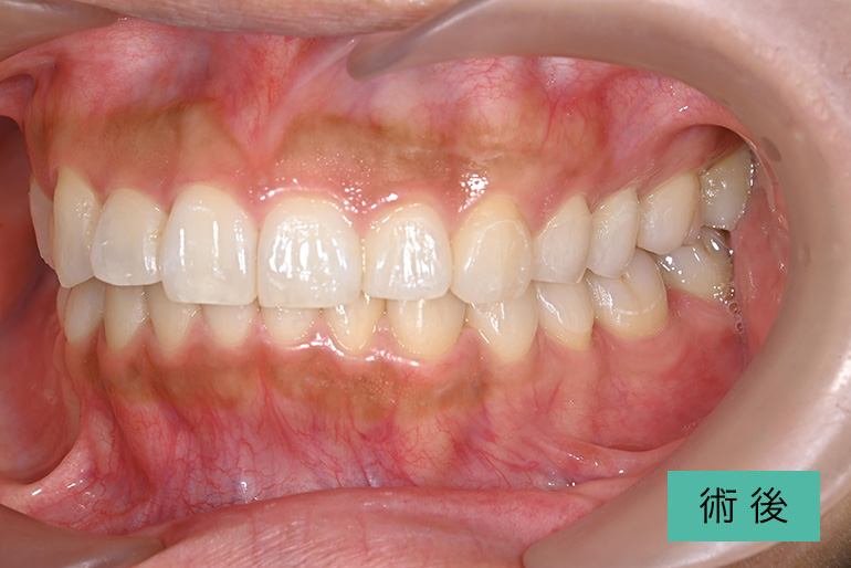
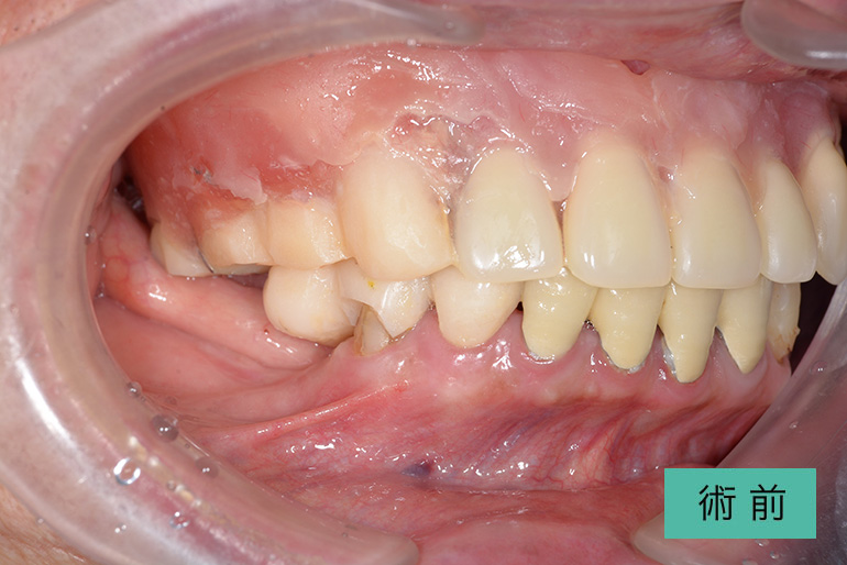
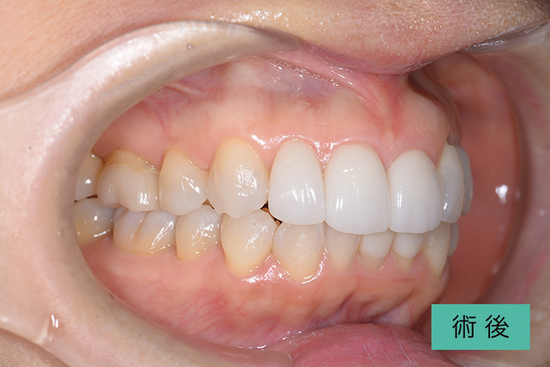
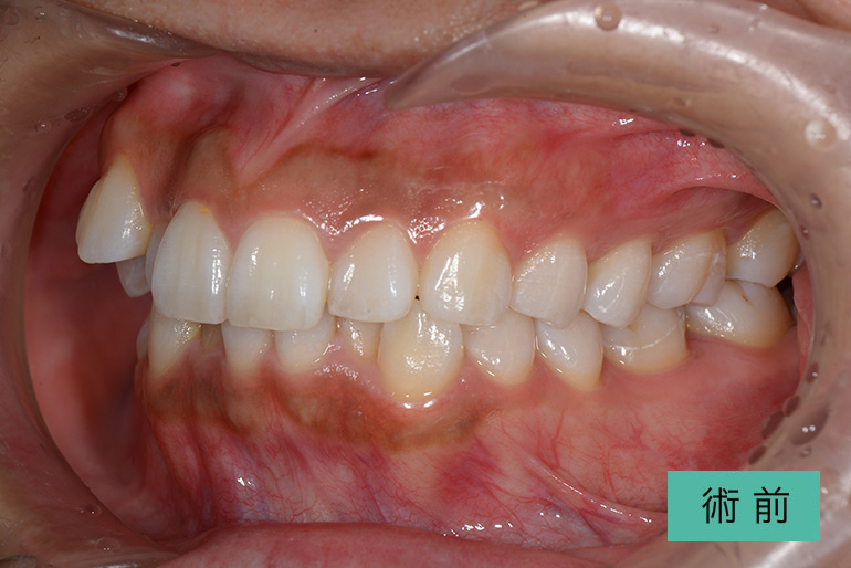
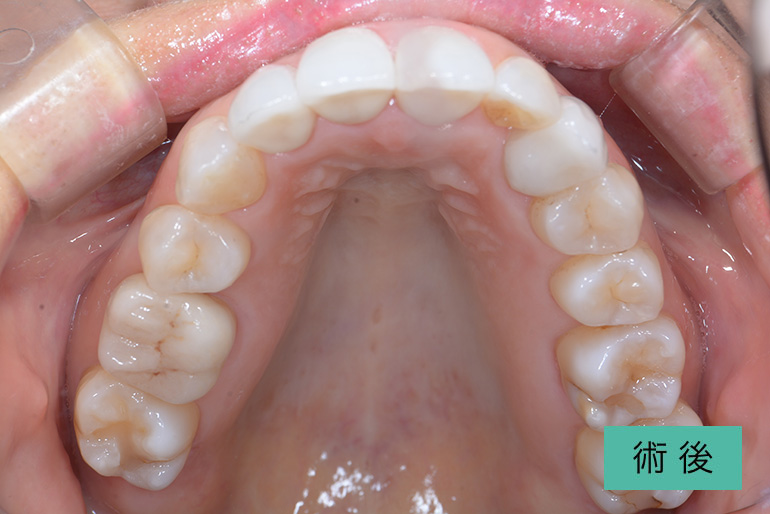
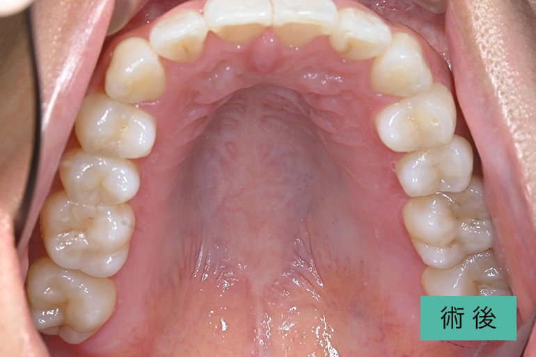
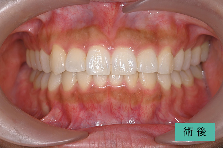
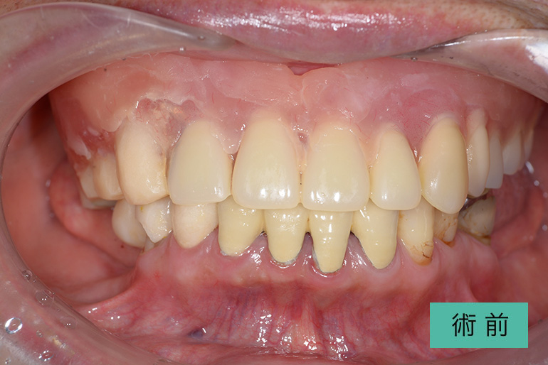
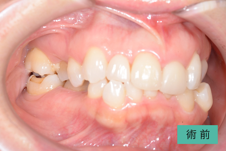
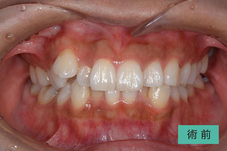
オールセラミック①
| 治療内容 | 上顎インビザライン矯正 右上1番から左上の2番のセラミック冠 上顎前歯の叢生、右上犬歯の捻転の改善のため、上顎のみインビザライン矯正を行なった また、根尖病巣があった為補綴を除去、顕微鏡根管治療を行い、セラミック冠を装着した |
|---|---|
| 治療期間・回数 | 約8ヶ月、15回(インビザライン矯正) 約4ヶ月、6回(補綴治療) |
| 費用(税込) | ¥275,000 (上顎インビザライン矯正) ¥495,000(165,000/1本)(補綴費用) ※自由診療 |
| リスク・副作用 | 疼痛、補綴物の脱落、咬合違和感、破折 |
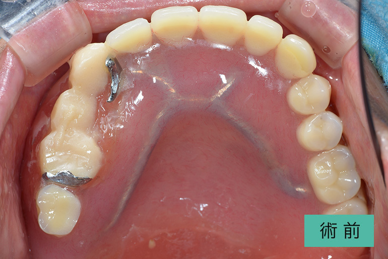
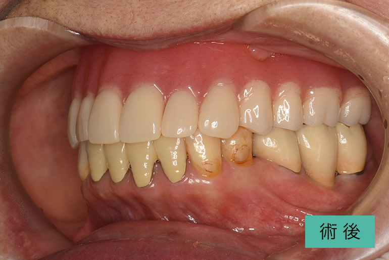
オールセラミック②
| 治療内容 | 上顎前歯右上3番から左上3番のセラミック冠 |
|---|---|
| 治療期間・回数 | 約1ヶ月、3回 |
| 費用(税込) | ¥990,000(165,000/1本)(補綴費用) ※自由診療 |
| リスク・副作用 | 疼痛、補綴物の脱落、咬合違和感、破折 |
マウスピース矯正(インビザライン)
インビザライン①
| 治療内容 | 歯並びがコンプレックスで来院 左上下顎両側智歯の抜歯を行い、インビザラインでマウスピース矯正を行う 右下1番は歯肉退縮がみられた為根面被覆を行う マウスピース矯正終了後はリテーナーを使用 |
|---|---|
| 治療期間・回数 | 約2年半、30回 |
| 費用(税込) | ¥880,000(マウスピース矯正) ※自由診療 |
| リスク・副作用 | 歯肉退縮、知覚過敏、後戻り |
インビザライン②
| 治療内容 | 歯並びをキレイにしたい。 口腔内容積を狭くしないように、歯列を拡大し非抜歯で矯正をする。 |
|---|---|
| 治療期間・回数 | 約3年半、40回 |
| 費用(税込) | ¥880,000(マウスピース矯正) ※自由診療 |
| リスク・副作用 | 歯肉退縮、知覚過敏、後戻り |
インビザライン③
| 治療内容 | 歯並びをキレイにしたい。 口腔内容積を狭くしないように、歯列を拡大し非抜歯で矯正をする。 |
|---|---|
| 治療期間・回数 | 約6年、80回 |
| 費用(税込) | ¥880,000(マウスピース矯正) ¥620,000(セラミッククラウン) ※自由診療 |
| リスク・副作用 | 歯肉退縮、知覚過敏、後戻り |
歯周組織再生療法
歯周組織再生療法
歯周病の歯に噛み合わせの力がかかったことにより更に骨を失ったところを、 噛み合わせの治療と歯周組織再生療法を行なったケースです。
| 治療内容 | 右下5番の遠心に垂直性の骨欠損がみられた為、噛み合わせの治療と歯周組織再生療法を行った (リグロス+骨補填) |
|---|---|
| 治療期間・回数 | 2回 |
| 費用(税込) | ¥77,000 ※自由診療 |
| リスク・副作用 | 出血、腫脹、疼痛 |
インプラント
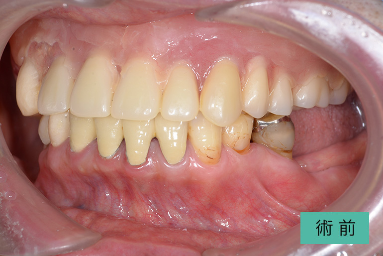
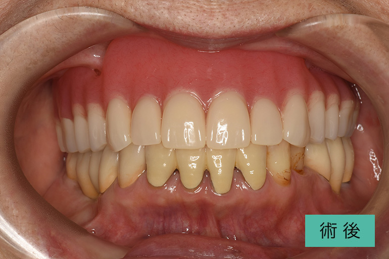
上顎総インプラント
| 治療内容 | 両側サイナスリフト(上顎洞底挙上骨造成術)し、上顎総インプラント治療を行った |
|---|---|
| 治療期間・回数 | 1年9ヶ月、29回(他部位の治療を含む) |
| 費用(税込) | ¥4,935,000 ※自由診療 |
| リスク・副作用 | 疼痛、腫脹、出血、鼻血、青痣、補綴の脱落、インプラント周囲炎、神経麻痺 |
インプラント20年長期ケース
| 治療内容 | 上顎前歯左右1番の歯牙破折の為、抜歯、骨補填後、インプラント治療を行い機能面審美面の回復を行った |
|---|---|
| 治療期間・回数 | 約9ヶ月、13回 |
| 費用(税込) | ¥1,111,000 (インプラント¥528,000/1歯+骨補填¥55,000) ※自由診療 |
| リスク・副作用 | 疼痛、腫脹、出血、青痣、補綴の脱落、インプラント周囲炎 |
インプラント23年長期ケース
| 治療内容 | 上下総インプラント |
|---|---|
| 治療期間・回数 | 約2年、63回 |
| 費用(税込) | ¥6,930,000 ※自由診療 |
| リスク・副作用 | 疼痛、腫脹、出血、青痣、補綴の脱落、インプラント周囲炎、神経麻痺、鼻血 |
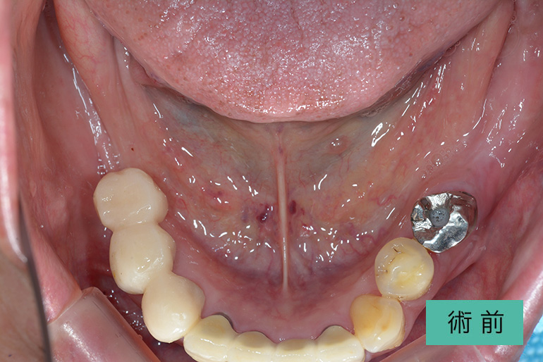
インプラント④
| 治療内容 | 入れ歯が合わなくてずっと噛みにくい。 下顎の入れ歯は不安定になるので、下顎の歯が無いところはインプラント治療をする。 上顎の入れ歯は患者さんが許容されてますので、保険治療の入れ歯で治療をする。 下顎を安定して治療すれば、上顎の入れ歯はどの歯科医師が作成しても噛める入れ歯を作ることは簡単。 将来、当院まで来院できなくなったとしても、どんな先生が治療しても上手くいくはずなので心配がない。 治療後、9年経過してますが上顎の入れ歯を作成するのみで対応できています。 |
|---|---|
| 治療期間・回数 | 半年、30回 |
| 費用(税込) | インプラント+セラミック冠 ¥2,596,000 ※自由診療 上顎入れ歯 ※保険診療 |
| リスク・副作用 | 出血、痛み、外科的治療、下歯槽神経麻痺 |
精密根管治療
マイクロ根管治療
| 治療内容 | 根尖病巣の炎症が上顎洞まで及び上顎洞炎の症状が出た為、マイクロ根管治療後、MTAセメントいう殺菌性が高く密閉性の高い薬剤を充填した |
|---|---|
| 治療期間・回数 | 約1ヶ月、3回 |
| 費用(税込) | ¥110,000(1根管5万円) ※自由診療 |
| リスク・副作用 | 疼痛 |
口腔ケア/ホワイトニング
オフィスホワイトニング①
| 治療内容 | オフィスホワイトニングを3回行った |
|---|---|
| 治療期間・回数 | 約1ヶ月、3回 |
| 費用(税込) | ¥55,000(3回コース) ※自由診療 |
| リスク・副作用 | 知覚過敏、疼痛、白濁(ホワイトスポット)、後戻り |
中等度歯周炎症例
| 治療内容 | 前歯からの出血で来院、中等度の歯周炎がみられた為、歯周基本治療を行った |
|---|---|
| 治療期間・回数 | 約1ヶ月、4回 |
| 費用(税込) | 保険治療 |
| リスク・副作用 | 知覚過敏、疼痛、歯肉退縮 |
オフィスホワイトニング②
| 治療内容 | オフィスホワイトニングを3回行った |
|---|---|
| 治療期間・回数 | 約1ヶ月、3回 |
| 費用(税込) | ¥55,000(3回コース) ※自由診療 |
| リスク・副作用 | 知覚過敏、疼痛、白濁(ホワイトスポット)、後戻り |
