2026.03.18コラム
歯ぐきから血が出るのはなぜ?それ、歯周病のサインかもしれません

こんにちは。西村歯科心斎橋診療所院長の秦です。
日々のブラッシングの際、ふと鏡を見ると「あ、歯ぐきから血が出ている」と気づくことはありませんか?あるいは、リンゴをかじった時や、硬いものを食べた時に、ほんのりピンク色の跡がついて驚いた経験があるかもしれません。
「どこか傷つけたかな?」「放っておけば治るだろう」 そう思ってしまいがちですが、実はその「歯ぐきからの出血」は、お口の中から発せられている大切なSOSサインなのです。
今回は、なぜ歯ぐきから血が出るのか、その原因と背景にある「歯周病」について、そして私たちがどのように皆さまの健康を守るお手伝いができるのかを、じっくり丁寧にお話しさせていただきます。
目次
1. なぜ「血が出る」ことが問題なの?

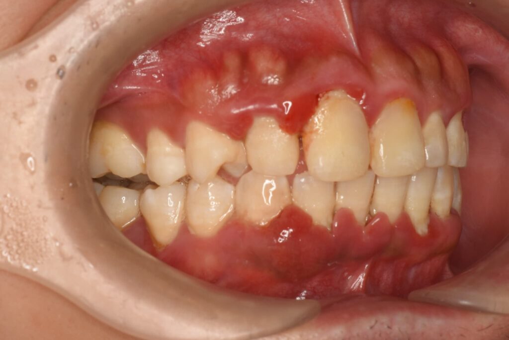
そもそも、健康な歯ぐきからは、ブラッシング程度で血が出ることはありません。 健康な歯ぐきは薄いピンク色をしていて、引き締まっており、歯と歯の間の三角形の隙間をきれいに埋めています。
しかし、歯ぐきに炎症が起きると、話は変わります。 炎症が起きると、体はその部分の悪い細菌を退治しようとして、血液をたくさん送り込みます。その結果、血管が膨らみ、少しの刺激(ブラッシングや食べ物)でも破れやすくなってしまうのです。
つまり、「血が出る=そこに炎症がある=体が細菌と戦っている」という証拠なのです。
2. 出血の大きな原因「歯周病」の正体

歯ぐきから血が出る原因の多くは「歯周病」です。 歯周病は、一言で言うと「歯を支える土台が溶けてしまう病気」です。
・歯肉炎(しにくえん): 歯ぐきだけに炎症が起きている状態。
・歯周炎(ししゅうえん): 炎症が深まり、歯を支える骨(歯槽骨)まで破壊され始めた状態。
歯周病の恐ろしいところは、「痛みがないまま進行する」という点です。 虫歯のように「ズキズキ痛む」という自覚症状があればすぐに歯医者へ行こうと思えますが、歯周病は静かに、着実に進行します。そして、痛みが出たり歯がグラグラしたりする頃には、かなり深刻な状況になっていることが多いのです。
だからこそ、痛みがない段階での「出血」というサインを見逃さないことが、歯を守る最大のポイントになります。
3. 当院が「予防」と「丁寧な説明」を大切にする理由

私たちは、単に「悪くなったところを治す」だけの場所でありたいとは思っていません。 皆さまが生涯、ご自身の歯でおいしく食事をし、自信を持って笑えるように、「予防」こそが歯科医療の核心だと考えています。
「なぜそうなったか」を一緒に知る
治療を始める前に、私たちはまず「なぜ今、歯ぐきから血が出ているのか」を詳しくご説明します。
・磨き残し(プラーク)がどこに溜まっているのか。
・歯石がどのように悪影響を及ぼしているのか。
・噛み合わせや生活習慣が関係していないか。
原因を知ることは、不安を解消する第一歩です。モニターでお口の中の写真を見たり、レントゲンを確認したりしながら、ご自身の今の状況を「見える化」して共有します。
インプラント経験が豊富だからこそ、天然の歯を大切にする
私はこれまで、多くのインプラント治療(歯を失った部分に人工の歯を植える治療)に携わってきました。インプラントは、歯を失った方にとって素晴らしい選択肢の一つです。 しかし、多くの症例を見てきたからこそ、強く確信していることがあります。
それは、「自分の天然の歯に勝るものはない」ということです。
インプラントの技術を磨けば磨くほど、神様がくれた天然の歯の精密さ、機能性の高さに敬意を抱かずにはいられません。だからこそ、私たちは「抜かずに済む方法」を全力で探し、そのために不可欠な「歯周病の予防と管理」に情熱を注いでいます。
4. 怖くない、痛くない治療へのこだわり

「歯医者は痛いから怖い」「あのキーンという音が苦手」 そうした不安から、足が遠のいてしまうお気持ちは本当によくわかります。しかし、その不安が原因で初期のサインを見逃してしまうのは、とてももったいないことです。
当院では、皆さまがリラックスして通えるよう、以下のことに取り組んでいます。
1.痛みを最小限に抑える工夫: 表面麻酔(塗り薬)を丁寧に使用し、麻酔の注射そのものの痛みを感じにくくします。また、最新の機器を用い、できるだけ振動や痛みの少ない治療を心がけています。
2.心のケアを大切にするカウンセリング: 「今から何をするのか」「あとどれくらいで終わるのか」がわからないと、誰だって不安になります。私たちは常に、患者さまの表情やお声がけを大切にし、常にコミュニケーションを取りながら進めていきます。
3.清潔で穏やかな環境: 歯科医院特有の緊張感を和らげるよう、院内の衛生管理を徹底し、落ち着いた雰囲気作りを大切にしています。
5. 今日からできる「セルフケア」と「プロケア」の二人三脚
歯周病を治し、予防していくためには、私たち歯科医師・歯科衛生士の力だけでは足りません。そして、患者さまお一人の努力だけでも限界があります。 大切なのは、ご自宅での「セルフケア」と、歯科医院での「プロケア」の連携です。
ご自宅でのセルフケア
・優しく丁寧に磨く: 強くゴシゴシ磨くと歯ぐきを傷つけてしまいます。
・フロスや歯間ブラシの活用: 歯ぐきから血が出る場所こそ、実は汚れが溜まっています。最初は血が出るかもしれませんが、正しくケアを続けると炎症が収まり、血が出なくなります。
歯科医院でのプロケア
・歯石の除去: 歯石はプラーク(細菌の塊)が石のように硬くなったもので、ブラッシングでは絶対に落ちません。専用の器具で優しく取り除きます。
・定期検診: 3ヶ月〜半年に一度のチェックで、小さな変化を見逃さずに対処できます。
6. お口の健康は、全身の健康の入り口

近年の研究で、歯周病は単にお口の中だけの問題ではないことがわかってきました。 歯ぐきの血管から入り込んだ歯周病菌が全身をめぐり、糖尿病や心疾患、誤嚥性肺炎などの全身疾患に影響を与える可能性があると言われています。
つまり、歯ぐきのケアをすることは、あなたの大切な体全体を守ることに直結しているのです。
「たかが歯ぐきの出血」と思わず、「自分の体をいたわるタイミング」だと捉えていただければ、私たちはこれほど嬉しいことはありません。
よくあるご質問(Q&A)
Q1. 歯ぐきから血が出るときは、怖くて歯磨きを控えてしまいます。磨かない方がいいのでしょうか?
A1. むしろ、優しく丁寧に磨き続けることが大切です。 出血がある場所は、細菌が溜まって炎症を起こしている証拠です。そこを避けてしまうと、さらに細菌(プラーク)が増えて炎症が悪化し、より出血しやすくなるという悪循環に陥ります。 血が出ると驚かれるかもしれませんが、「柔らかめの歯ブラシ」を使って、なでるように優しく汚れを落としてあげてください。数日から1週間ほど適切なケアを続けると、炎症が引き、出血も止まってきます。もし、それでも血が止まらない場合は、目に見えない場所に歯石が溜まっている可能性があるため、すぐにご相談ください。
Q2. 歯周病の治療は痛いイメージがあります。どのようなことをするのですか?
A2. 当院では、できるだけ痛みや不快感を与えないよう細心の注意を払っています。 基本的な治療は、歯の表面や歯ぐきの溝(歯周ポケット)にこびりついた「歯石」を取り除くことです。歯石は非常に硬く、細菌の温床になります。 処置の際は、超音波を使った振動の少ない器具を使用したり、必要に応じて表面麻酔(塗る麻酔)を併用したりすることで、痛みや「キーン」という嫌な響きを最小限に抑えます。一度に無理に進めるのではなく、患者さまの体調やペースに合わせて進めていきますので、どうぞご安心ください。
Q3. インプラントを入れた後でも、歯ぐきから血が出ることがありますか?
A3. はい、あります。それは「インプラント周囲炎」という非常に注意が必要なサインです。 インプラント自体は人工物なので虫歯にはなりませんが、それを支える周りの歯ぐきや骨は、天然の歯と同じように細菌感染を起こします。これがインプラント周囲炎です。 実はインプラントは天然の歯よりも細菌への抵抗力が弱く、進行も早いため、出血に気づいたら早急な対応が必要です。私は多くのインプラント症例を経験してきましたが、長く快適に使っていただくためには、埋入後の「予防メインテナンス」こそが最も重要だと考えています。
Q4. 歯ぐきの色は、治療すれば元のピンク色に戻りますか?
A4. 多くの場合は、適切な治療とケアで健康的なピンク色を取り戻せます。 赤紫色に腫れているのは、血液が滞っている(充血・うっ血)ためです。治療によってプラークや歯石が取り除かれ、炎症が治まれば、歯ぐきは再び引き締まり、本来の健康な色に戻ります。 ただし、長期間放置してしまった場合や、喫煙などの習慣がある場合は、回復に時間がかかることもあります。まずは現在のお口の環境を整えることから一緒に始めましょう。
結びに代えて:あなたと一緒に歩むパートナーとして
歯ぐきからの出血に気づいた時、どうか一人で悩んだり、不安になったりしないでください。 「こんな小さなことで相談してもいいのかな?」と遠慮する必要もありません。
私たちは、皆さまの不安に寄り添い、お話をじっくり伺い、納得いただけるまで説明を尽くします。痛みへの配慮を忘れず、できるだけリラックスした状態で、最善の予防プログラムをご提案することをお約束します。
インプラントの技術も、最新の設備も、すべては「皆さまが一生、笑顔で過ごせること」のためにあります。
もし今、少しでも歯ぐきのことが気になっているのなら、その一歩を踏み出してみませんか?私たちは、あなたの健やかな未来を全力でサポートする準備ができています。
ご予約はこちらから
