2026.02.13コラム
「銀歯が気になる…」白い歯にやり替えると人生がどう変わる?見た目だけじゃない審美治療

こんにちは。大阪市中央区心斎橋にある医療法人西村歯科心斎橋診療所、院長の秦です。
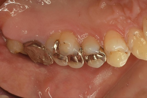
ふと鏡を見たとき、あるいは写真に写った自分の笑顔を見たとき、口の中にキラリと光る「銀歯」に目が止まったことはありませんか?
「昔、虫歯治療をしたときは保険で安く済ませたけれど、大人になってからどうしても気になってしまう…」 「大きな口を開けて笑うのを、無意識にためらってしまう…」
実は、当院に来院される患者様の中でも、このような過去に入れた銀歯(金銀パラジウム合金)」に関するお悩みは非常に多いのです。
もちろん、銀歯は日本の保険制度において、噛む機能を回復させるための実績ある治療法です。しかし、近年の歯科医療の進歩により、「ただ噛めればいい」という段階から、「より美しく、より健康に、より長く歯を守る」というステージへ治療の選択肢がシフトしています。
今回は、長年のコンプレックスになりがちな「銀歯」を、セラミックなどの「白い歯」にやり替えることで、あなたの口元や生活、そして将来の健康にどのような変化が訪れるのかを、歯科医の視点から詳しく解説します。
目次
なぜ、私たちは「銀歯」が気になってしまうのか?
まず、銀歯がもたらす「見た目」と「心理的」な影響について考えてみましょう。
日本特有の「銀歯事情」
実は、先進国の中でこれほど多くの人が口の中に「銀色の金属」を入れている国は、日本くらいだということをご存知でしょうか? 欧米では、白い歯(セラミックやレジン)での治療がスタンダードであり、笑ったときに銀歯が見えることは非常に稀です。
そのため、海外旅行や留学、あるいは海外の方と接するビジネスの場において、「日本人の口元」は少し特異な目で見られてしまうこともあります。
無意識の「口元隠し」が招く印象ダウン
銀歯を気にされている方の多くは、笑うときに無意識に手で口元を隠したり、大きく口を開けないように控えめに話したりする癖がついていることがあります。 ご本人はマナーのつもりでも、相手からすると「心を開いてくれていないのかな?」「自信がなさそうだな」というネガティブな印象を与えてしまうことがあります。
「白い歯に変えること」の最初のメリットは、この心理的なブレーキが外れることです。 何も気にせず、思いっきり笑える。その自信は、あなたの表情を明るくし、周囲に与える印象を劇的にポジティブなものへと変えてくれます。
実は怖い? 見た目以上に深刻な「銀歯のリスク」


「見た目が悪いだけなら、我慢すればいい」 もしそう思っているなら、少し注意が必要です。実は歯科医師が銀歯からセラミックへのやり替えをお勧めする最大の理由は、見た目以上に「歯の健康を守るため」なのです。
銀歯を長く使い続けることには、以下の3つの大きなリスクが潜んでいます。
リスク①:二次カリエス(虫歯の再発)の温床になりやすい
銀歯の下で、いつの間にか虫歯が進行していた…という経験はありませんか? これを「二次カリエス(二次虫歯)」と呼びます。
銀歯は、セメント(接着剤)で歯に合着されていますが、長い年月が経つと、口の中の過酷な環境(熱いもの、冷たいもの、噛む力)によってセメントが少しずつ溶け出したり、金属自体が変形したりします。 すると、銀歯と天然の歯の間にミクロの隙間が生まれます。
この隙間に虫歯菌が入り込み、外からは見えないところで虫歯が広がり、気づいたときには神経を抜かなければならない…最悪の場合は抜歯になることも珍しくありません。
「銀歯は、一度治した場所がまた虫歯になりやすい」 これは、素材の性質上、避けられない宿命とも言えるのです。
リスク②:金属アレルギーの突然の発症

「私は金属アレルギーじゃないから大丈夫」と思っていても、金属アレルギーは「蓄積型」のアレルギーです。 長年、口の中に金属があり、唾液によって金属イオンが少しずつ溶け出して体内に蓄積されることで、ある日突然、アレルギー症状が出ることがあります。
口の中の粘膜が荒れるだけでなく、手足の皮膚に水疱ができる「掌蹠膿疱症(しょうせきのうほうしょう)」などの全身疾患の原因が、実は口の中の銀歯だったというケースも報告されています。 お口の中を「メタルフリー(金属不使用)」にすることは、将来の体の健康への投資でもあるのです。
リスク③:メタルタトゥー(歯茎の黒ずみ)
銀歯から溶け出した金属イオンが歯茎に沈着し、歯の根元付近の歯茎が黒ずんでしまうことがあります。これを「メタルタトゥー」と呼びます。 一度歯茎が黒くなってしまうと、歯を白くしても歯茎の色は簡単には元に戻りません(レーザー治療などが必要になります)。歯茎の健康的なピンク色を守るためにも、早めの対処が望ましいのです。
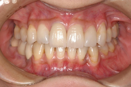
白い歯(セラミック)に変えると、何がどう変わる?
では、実際に銀歯をセラミックなどの審美補綴(しんびほてつ)に変えると、具体的にどのような変化があるのでしょうか? 単に「色が白くなる」だけではない、機能面・健康面での劇的な変化をご紹介します。
① 圧倒的な「清潔感」と「自然な美しさ」


セラミックの最大の特徴は、天然の歯のような「透明感」と「光沢」です。 保険診療で使われるプラスチック(レジン)の白い歯は、時間が経つと水分を吸収して黄ばんでしまったり、艶がなくなったりしますが、陶器と同じ成分であるセラミックは、年数が経っても変色しません。
周りの自分の歯の色に合わせて細かく色調を調整できるため、「どの歯を治したのか分からない」レベルで自然な仕上がりになります。
② 汚れがつきにくく、歯磨きが楽になる


お皿を想像してみてください。プラスチックのお皿は油汚れが落ちにくいですが、陶器のお皿はサッと洗うだけでキュキュッと綺麗になりますよね? これと同じことが口の中でも起きます。 セラミックの表面は非常に滑らかで傷がつきにくいため、プラーク(歯垢)や細菌がつきにくくなります。
つまり、銀歯の時よりも歯磨きで汚れが落ちやすくなり、口臭の予防や歯周病のリスク低下にも繋がります。
③ 歯と一体化し、虫歯の再発を極限まで防ぐ
ここが歯科医学的に最も重要なポイントです。 セラミック治療(特に自費診療)では、型取りの材料や接着技術に、保険診療では使えない高精度のものを使用します。
さらに、セラミックは歯と「化学的」に強力に接着させることができるため、銀歯のように隙間からセメントが溶け出すことがほとんどありません。 歯と修復物が一体化することで、細菌の侵入を防ぎ、「治療した歯を、もう二度と虫歯にしない」という予防効果が非常に高いのです。
あなたに合うのはどれ? 白い歯の種類と選び方
「白い歯にしたいけれど、種類がいっぱいで分からない」という方のために、代表的な素材を簡単にご紹介します。
■ オールセラミック(e.maxなど)
特徴
金属を一切使わず、全てセラミックでできた歯。透明感が非常に高く、最も天然歯に近い美しさを再現できます。
おすすめ
とにかく見た目を綺麗にしたい前歯や、笑ったときに見える小臼歯。金属アレルギーの方。
■ ジルコニア
特徴
「人工ダイヤモンド」とも呼ばれる非常に硬い素材。従来のセラミックは割れやすいのが欠点でしたが、ジルコニアは強度があり、奥歯の強い噛み合わせにも耐えられます。
おすすめ
力のかかる奥歯、噛み合わせが強い方、歯ぎしりがある方。
■ ハイブリッドセラミック
特徴
セラミックとプラスチック(レジン)を混ぜ合わせた素材。オールセラミックより安価ですが、長期的には多少の変色や摩耗が起きる可能性があります。
おすすめ
費用を抑えつつ白くしたい方。適度な柔らかさがあり、周囲の歯に優しい。
治療の流れと、よくある疑問
「銀歯を白くしたい」と思い立った場合、どのようなステップで治療が進むのでしょうか。
銀歯を白くする場合の治療の流れ
1. カウンセリング・検査
まずはお口の中の状態をチェックし、レントゲン等で銀歯の下の虫歯の有無を確認します。ご希望の白さやご予算を伺います。
2. 銀歯の除去・土台の調整
銀歯を外し、もし中で虫歯が再発していれば治療を行います。その後、セラミックを入れるための形を整えます。
3. 精密な型取り
適合の良い被せ物を作るために、精密な型取りを行います。
4. 仮歯の装着
完成までの間、見た目や機能を損なわないよう仮歯を入れます。
5. 完成・装着
技工士が作成したセラミックをセットします。噛み合わせを調整し、完全に接着します。
よくある疑問
Q. 治療期間はどれくらい?
虫歯の進行具合にもよりますが、通常は銀歯を外してからセットするまで、2〜3回程度の通院(期間にして2週間〜1ヶ月程度)で完了することが多いです。
Q. 費用は高いの?
自費診療(保険適用外)となるため、保険の銀歯に比べると費用はかかります。
しかし、「5年、10年後にやり直しになるリスク」「再度歯を削って歯を失うリスク」を考えると、長い目で見たときのコストパフォーマンスは決して悪くありません。
※当院では、医療費控除の対象となる場合や、デンタルローンの取り扱いもございますのでお気軽にご相談ください。
まとめ:白い歯への交換は、未来の自分への「自信」と「健康」のプレゼント

銀歯を白い歯に変えること。 それは単なる「お洒落」ではありません。
・人前で口元を隠さず、心から笑えるようになる「自信」
・汚れがつきにくく、口臭や歯周病を遠ざける「清潔」
・虫歯の再発を防ぎ、自分の歯を長く残すための「予防」
・金属アレルギーのリスクをゼロにする「安心」
これら全てを手に入れることができる、人生の質(QOL)を上げるための前向きな選択です。
「私の場合は、どの素材がいいの?」「全部変えたらいくらくらい?」 そんな疑問をお持ちの方は、ぜひ一度当院のカウンセリングにお越しください。無理に治療を勧めることはありません。まずは現状を知り、どんな選択肢があるのかを知ることから始めてみませんか?
鏡を見るのが楽しみになる。そんな毎日を、私たちと一緒に作っていきましょう。
【ご相談、カウンセリング受付中】
銀歯のやり替え、審美治療に関するご相談は随時受け付けております。 「とりあえず話だけ聞いてみたい」という方も大歓迎です。 Web予約、またはお電話にて「審美歯科の相談希望」とお伝えください。
