2025.12.12Newコラム
矯正中のトラブルを防ぐために大切なこと ──矯正前から知っておくべき虫歯予防・根管治療・プラークコントロール──

こんにちは、大阪市中央区心斎橋駅から徒歩1分の西村歯科心斎橋診療所、院長の秦です。
今回のコラムは矯正後に綺麗な歯並びと歯を保つために、矯正中や矯正後に起こるトラブルについて書きたいと思います。
矯正治療は、歯並びや咬み合わせを整えるだけでなく、見た目やお口の健康を大きく改善する素晴らしい治療法です。しかし、矯正器具がついた状態は、いつもより歯が磨きにくく、汚れも溜まりやすくなるため、虫歯や歯周病などのトラブルが起きやすくなる時期でもあります。
近年、矯正治療を終えて器具を外した際に、「思っていた以上に虫歯がたくさんできていた」「歯の表面に白い模様(脱灰)が残ってしまった」というトラブルが全国的に増えています。しかし、これは“矯正”そのものが原因ではありません。実は、矯正治療の前にどれだけ“お口の健康管理”を理解し、習慣化しておけるかで、矯正期間中のトラブルの大部分は防ぐことができるのです。
ここでは、矯正治療中に起こりやすいトラブルと、その予防のために知っておきたい重要なポイントを、患者さんに分かりやすく解説します。
目次
1. 矯正中に虫歯が増える理由

矯正期間中は、ワイヤー・ブラケット・ゴムなどの器具が歯に装着されるため、普段よりも食べかすやプラークが付着しやすくなります。特にブラケット周囲は凹凸が多く、磨き残しが発生しやすい場所です。
この状態を放置すると、
・虫歯(特に白濁=脱灰)
・歯肉炎
・歯周病の悪化
・口臭
といった問題が起きやすくなり、せっかく矯正治療を頑張っても、装置を外した後に「虫歯だらけ」という残念な結果になることもあります。
ではなぜ、最初はしっかり虫歯予防を理解していたのに、矯正期間中に虫歯になる方がいるのでしょうか?
その理由は、 “矯正前、矯正期間中のプラークコントロール” が不良なこと多いからです。
矯正は、今までよりも「丁寧な歯磨き」「補助清掃」「定期的なメンテナンス」が必須になる治療です。矯正開始前から正しいブラッシングやフロス・歯間ブラシを習慣化している方は、矯正中でもそのまま良好な口腔環境を維持できます。
2. 矯正前に虫歯予防を理解していると矯正後に虫歯がほとんどできない理由
矯正治療前に虫歯予防(プラークコントロール)の重要性を理解し、毎日のケアを習慣化している患者さんは、矯正期間中も安定した口腔環境を保つことができます。
矯正前の予防意識が矯正全体の結果を決める
・正しい歯ブラシの角度
・ブラケット周囲の磨き方
・歯間ブラシの種類
・フロスの使い方
・補助清掃具の選び方
・洗口剤の活用
・食生活の管理(砂糖・酸のコントロール)
こうした知識を矯正前に身につけることで、矯正期間中の虫歯リスクは大幅に下がります。
特に、矯正中は「白濁(ホワイトスポット)」と呼ばれる初期虫歯が起きやすい時期ですが、適切なケアをしていれば、
・そもそも白濁が出ない
・万が一起きても進行しにくい
というメリットがあります。
矯正後に 「歯並びもきれいになったし、虫歯もほとんどなかった」 という患者さんは、例外なく矯正前から予防意識が高い方です。
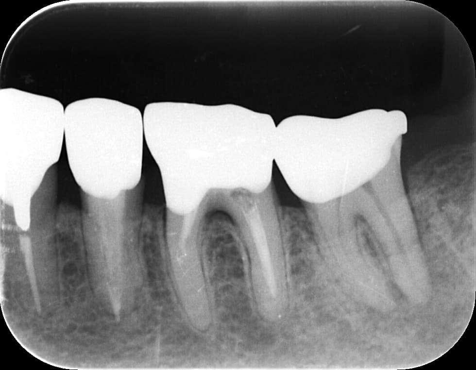
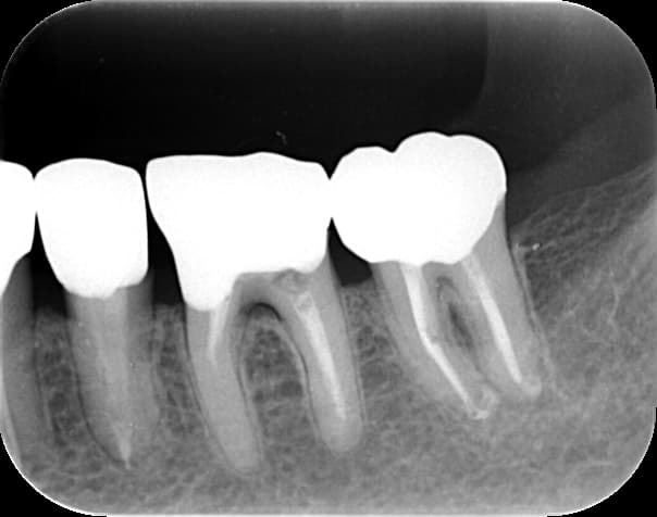
3. 矯正治療前に根管治療を済ませたほうがよい理由



矯正中は歯が動くため、弱っている歯や神経が炎症を起こしやすい時期です。特に、以下のような歯は矯正前に治療した方が安心です。
・大きな虫歯がある
・神経まで深い虫歯が近い
・すでに痛みを繰り返している
・歯髄の炎症が疑われる
・過去の治療が不十分
このような歯をそのまま矯正に進むと、矯正中に 「急に痛みが出る」「歯がしみる」「咬めない」 といったトラブルが発生しやすくなります。
矯正中は器具がついているため治療が難しくなり、治療計画全体が遅れるケースもあります。
そのため、矯正前に “怪しい歯は先に治療しておく” ことが、矯正期間をスムーズに進めるための重要な準備です。
4. プラークコントロールができていると歯周病にもなりにくい

矯正中は「歯肉炎」が起きる患者さんが多いのですが、原因のほとんどはプラーク(細菌のかたまり)です。
プラークを取り除くと歯肉は引き締まり、炎症もほぼ100%改善します。反対に、清掃が不十分なまま矯正を続けると、
・歯肉が腫れる
・出血しやすくなる
・ポケットが深くなる
・歯周病に進行する
・歯がグラつく
などの問題が起こり、矯正治療の妨げにもなります。
ところが、矯正前からプラークコントロールを理解している患者さんは、矯正期間中も清潔な環境を維持できるため、歯周病リスクは極めて低くなります。
“矯正が歯周病を悪化させる”のではなく、 “プラークコントロールが不十分だと悪化しやすい” というのが正確な表現です。
5. 矯正中のトラブルを防ぐために、当院が大切にしていること

当院では矯正治療を成功させるために、以下の点を徹底しています。
① 矯正前の虫歯予防指導を徹底
・ブラッシング指導
・歯間ブラシ・フロスの使い方
・洗口剤の選び方
・間食や飲料のアドバイス
矯正開始前に予防知識を“落とし込む”ことが重要です。
② 治療すべき歯は矯正前に治療
・根管治療
・大きな虫歯
・適合不良の詰め物
矯正中に痛みを出さないことが、治療の成功に直結します。
③ 定期的なクリーニングとメンテナンス
矯正中は普段より汚れやすいため、 1〜2ヶ月に1回のプロケアを推奨しています。
④ 矯正専門医・一般歯科医・歯科衛生士のチーム医療
すべての患者さんの口腔内をチームで管理するため、 矯正中の虫歯や歯周病発生率が大幅に低くなっています。
6. 矯正前の意識が矯正治療がスムーズに進むかを左右します。
矯正治療は、単に歯並びを整えるだけではなく、 **“お口の健康を見直す絶好のチャンス”**です。
矯正前から虫歯予防とプラークコントロールを理解しておくことで、
・矯正中に虫歯にならない
・仕上がりが美しい
・歯周病のリスクが低い
・痛みが出にくい
・矯正期間がスムーズ
・矯正後に後悔しない
このように、矯正治療全体の満足度が大きく変わります。 だからこそ、トラブルなく最高の結果が得られるよう、矯正前から正しい知識を身につけ、私たちと一緒に健康なお口づくりをしていきましょう。
7. 矯正治療を成功に導く「患者さん自身の主体性」
矯正中のトラブルを防ぐ上で欠かせないのが、患者さんご自身の「主体性」です。矯正治療は、歯科医師が装置をつけて終わりではなく、患者さんの日々のセルフケアによって“結果の質が決まる”治療でもあります。特にワイヤー矯正やマウスピース矯正は、患者さんの協力度がそのまま治療期間や仕上がりに反映されます。
たとえば、マウスピース矯正では決められた時間しっかり装着することで歯が計画通りに動きますが、装着時間が不足すると動きが遅れ、治療期間が長引くだけでなく、最終的な仕上がりが不完全になることもあります。また、ワイヤー矯正でも、ブラケット周囲の磨き残しが続くと歯肉が腫れ、装置の調整が難しくなり、治療スピードに影響が出ます。
つまり、矯正治療は 「歯医者さんだけが頑張る治療」ではなく、 「患者さんと歯科医院が協力する共同作業」 という意識が非常に重要になります。
8. 矯正治療は「見た目」だけでなく“生涯の歯の健康”を守る治療

矯正治療というと「見た目の改善」が最初にイメージされがちですが、実際には健康面でも大きなメリットがあります。
● 歯が磨きやすくなる
重なった歯が整うことで、歯ブラシが届きにくかった部位の磨き残しが減少します。
● 歯周病になりにくくなる
歯並びが整うと、歯肉への負担が減り、炎症も改善しやすくなります。
● 咬み合わせが安定し、歯の寿命が延びる
不正咬合は特定の歯に負担がかかりやすく、長期的には歯の破折や咬耗につながります。
● 顎関節の負担が減る
咬み合わせの偏りが少なくなることで、顎関節へのストレスも軽減されます。
このように矯正治療はただの「美容治療」ではなく、 “歯を長く使い続けるための大切な医療行為” でもあります。だからこそ、矯正中の虫歯や歯周病は絶対に避けたいのです。トラブルが起きれば、せっかく歯並びが良くなっても健康を損ねてしまいます。
9. トラブルなく矯正を終えるために、私たちが最も伝えたいこと
矯正治療は数ヶ月〜数年続く“長い旅”です。途中で虫歯や痛み、腫れなどのトラブルが起きると、 ・治療期間が延びる ・治療の質が下がる ・モチベーションが落ちる ・仕上がりに影響する といった悪影響があります。
しかし、矯正前からしっかり予防を理解し、治療中も丁寧なセルフケアと歯科医院でのメンテナンスを続けていけば、ほとんどのトラブルは防ぐことができます。
矯正治療の目的は単に「歯並びを整える」ことだけではありません。 健康できれいな歯を、一生使い続けるための準備 です。
だからこそ、矯正治療を始める前の準備と、治療中の予防意識が最も大切なのです。
当院では矯正科からの虫歯治療や歯周治療、予防メンテナンスも承っております。
お電話でのご予約▶️06−6253−2900
