2026.02.18Newコラム
「1本くらいなくても大丈夫」は大きな間違い!歯を失ったまま放置すると口の中で起きる「負の連鎖」

こんにちは。大阪市中央区にある西村歯科心斎橋診療所、院長の秦です。
当院はインプラントセンターでもありますので、歯を失った後の治療(欠損補綴)をする機会が多い診療所でもあります。
そんな歯科医院で働いで16年になる私が思う歯を失って放置した場合のデメリットについて述べたいと思います。
はじめに:歯は動く!

まず大前提として知っておいていただきたいのは、「大人の歯も、一生動き続けている」という事実です。 歯は顎の骨にセメントで固定されているわけではありません。「歯根膜(しこんまく)」というクッションのような繊維で吊り下げられており、常に力がかかる方向へ移動しようとする性質を持っています。
すべての歯が揃っているときは、お互いに押し合うことでその場に留まっています。しかし、1本でも歯がなくなると、その「つっかえ棒」がなくなり、歯は一気に動き始めます。
これが、すべてのトラブルの始まりです。
ステージ1:放置して数ヶ月〜数年で起きる「歯列の崩壊」
歯を失って数ヶ月から数年放置すると、目に見えて以下のような変化が現れます。
両隣の歯が倒れ込んでくる(傾斜)
抜けた歯のスペースに向かって、両隣の歯が斜めに倒れ込んできます。 例えば、一番奥の歯を失うと、その手前の歯が奥へ向かって倒れます。逆に、中間の歯を失うと、奥の歯が手前に向かって倒れてきます。
斜めに倒れた歯は、噛む力(咬合力)を垂直に受け止めることができず、横からの力に弱くなります。その結果、倒れた歯の寿命も縮まり、将来的に抜歯になるリスクが跳ね上がります。
向かい合う歯が伸びてくる(挺出:ていしゅつ)


これが最も厄介な変化の一つです。 上の歯を失えば下の歯が上に伸び上がり、下の歯を失えば上の歯が下に垂れ下がってきます。これを「挺出(ていしゅつ)」と呼びます。
歯は「相方」にぶつかるまで伸び続ける性質があります。相方を失うと、ストッパーがなくなるため、歯茎のラインを超えてズズズと伸びてきてしまうのです。 こうなると、いざ治療をして歯を入れようとしても、スペースが狭くなっていて人工の歯が入らない、あるいは伸びた歯を削ったり神経を抜いたりしなければならなくなります。
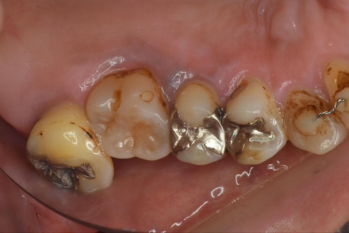
歯の間に隙間ができ、食べ物が詰まる

歯が動くことで、元々はぴったり閉じていた歯と歯の間に隙間(オープンコンタクト)が生まれます。 ここに繊維質の食べ物や肉などが詰まりやすくなります。「最近、やたらと物が挟まる」というのは、歯が動いている危険信号です。
ステージ2:お口全体に広がる「病気の連鎖」
歯列が乱れることで、次に病気のリスクが高まります。
虫歯と歯周病の温床になる
倒れ込んだ歯や伸びた歯の周りは、形が複雑になり、歯ブラシが届きにくくなります。 プラーク(歯垢)が溜まりやすくなり、せっかく残っている健康な歯が、急速に虫歯や歯周病に侵されていきます。 「1本失うと、両隣の歯も失いやすくなる」と言われるのはこのためです。
噛み合わせの崩壊と顎関節症
歯が移動すると、本来の正しい位置で噛めなくなります。 無意識のうちに、噛みやすい場所を探して顎をズラして噛むようになります。これが習慣化すると、顎の関節に負担がかかり、「口が開かない」「顎が鳴る」「痛い」といった顎関節症の症状を引き起こします。
顔の歪み・老化(見た目の変化)

片方の歯がないからといって、反対側ばかりで噛んでいませんか? 片側噛みを続けると、使っている側の筋肉だけが発達し、使っていない側の筋肉は衰えます。結果、顔の輪郭が左右非対称になったり、口角の位置がズレたりします。 また、奥歯を失うと頬がこけやすくなり、口元のシワが増え、実年齢よりも老けて見られる原因にもなります。
ステージ3:全身に及ぶ「健康被害」
お口の中だけの問題ではありません。歯の欠損は全身の健康にも影を落とします。
消化器官への負担
食べ物を細かく噛み砕く(咀嚼)効率が落ちるため、大きな塊のまま飲み込むことになります。 これは胃腸に大きな負担をかけ、消化不良や栄養吸収の低下を招きます。
認知症リスクの上昇
近年の研究で、非常に注目されているポイントです。 「噛む」という刺激は、脳への血流を増やし、脳を活性化させる重要なポンプの役割を果たしています。 歯を失って噛めなくなると、脳への刺激が減少し、認知症の発症リスクが高まることが多くのデータで示されています。残っている歯の本数が少ない高齢者ほど、認知症になりやすいという統計もあります。
転倒リスク・身体バランスの低下

奥歯には、重い頭を支え、体のバランスを保つ役割があります。 しっかりと食いしばれないと、瞬発力が出なかったり、平衡感覚が狂ったりして、転倒しやすくなります。特に高齢の方にとって、転倒による骨折は寝たきりの入り口になりかねない重大な問題です。
もう一度噛める喜びを。失った歯を補う「3つの選択肢」
ここまでお話しした恐ろしい「負の連鎖」を止める唯一の方法。 それは、「できるだけ早く、失った歯の部分に人工の歯を入れ、噛み合わせを回復させること」です。
歯科医院では、主に3つの治療法(補綴治療)をご用意しています。それぞれの特徴を知り、ご自身のライフスタイルや価値観に合ったものを選びましょう。
1. インプラント(人工歯根)

顎の骨にチタン製のネジ(人工歯根)を埋め込み、その上にセラミックなどの歯を被せる治療法です。
メリット:
・唯一、骨の減少を食い止めることができる:顎の骨に直接刺激が伝わるため、骨が痩せるのを防げます。
・他の歯を削らない:完全に独立した歯を作るため、両隣の健康な歯に一切負担をかけません。
・自分の歯と同じように噛める:違和感がなく、硬いものでもバリバリ噛めます。
デメリット:
・外科手術が必要。
・保険適用外(自費診療)のため費用がかかる。
・治療期間が比較的長い。
★こんな方におすすめ:「健康な歯を削りたくない」「昔のように何でも美味しく食べたい」「入れ歯の取り外しが面倒」という方。現在、機能的にも審美的にも最も優れた治療法とされています。
2. ブリッジ(架け橋)

失った歯の両隣の歯を削り、そこを土台にして連なった被せ物を「橋」のように渡す治療法です。
メリット:
・固定式なので、違和感が少ない。
・保険適用(銀歯等)であれば安価に治療できる。
・治療期間が短い。
デメリット:
・健康な歯を削る必要がある:これが最大の欠点です。土台となる歯のエナメル質を削るため、その歯の寿命を縮めてしまうリスクがあります。
・土台の歯に過重負担がかかる:欠損した歯の分の噛む力を、土台の歯だけで支えるため、将来的に土台の歯が割れたりダメになったりしやすいです。
★こんな方におすすめ:「外科手術は怖い」「短期間で治したい」「保険の範囲内で固定式の歯を入れたい」という方。
3. 入れ歯(義歯)

取り外し式の装置を、残っている歯にバネ(クラスプ)をかけて固定する方法です。
メリット:
・歯を大きく削る必要がない。
・保険適用であれば安価。
・簡単な型取りで作れる。
デメリット:
・噛む力が弱い:天然の歯の20〜30%程度の力しか出ないと言われています。
・違和感が大きい:異物感があり、話しにくい、食べ物の味がわかりにくいことがあります。
・バネをかけた歯に負担がかかる:揺さぶられる力がかかり、バネをかけた歯が抜けやすくなります。
★こんな方におすすめ:「まずは手軽に隙間を埋めたい」「手術も歯を削るのも避けたい」という方。最近では、バネが見えない「ノンクラスプデンチャー」や、磁石を使った「マグネットデンチャー」など、機能的で目立ちにくい自費の入れ歯も進化しています。
結論:放置が一番の「高コスト」になります
治療費や通院の手間を考えて、「もう少し後でいいか」と先送りにしてしまう気持ちはよく分かります。
しかし、歯科医師として断言できるのは、「放置すればするほど、治療は大掛かりになり、期間も長く、費用も高くなる」ということです。
1本の欠損の段階で治療をしておけば、インプラント1本やブリッジで済んだかもしれません。 しかし、放置して両隣の歯が倒れ、噛み合わせが崩壊してから来院された場合、矯正治療で歯を起こしたり、追加で抜歯が必要になったり、お口全体を作り直すような大規模な治療が必要になることもあります。
「今」が、あなたにとって一番負担が少なく治療できるタイミングです。
当院では、患者様の現在の状況、ご予算、そして将来どうなりたいかというご希望をじっくり伺った上で、ベストな治療プラン(インプラント、ブリッジ、精密入れ歯など)をご提案します。
「抜けたまま何年も経ってしまったから、怒られるかも…」 そんな心配は無用です。私たちは、これからのお口の健康を守るパートナーです。 手遅れになる前に、まずは一度、検査とご相談にいらしてください。
【ご相談、カウンセリング実施中】
「私の歯の状態でもインプラントはできる?」 「自分に合った治療法を知りたい」 失った歯の治療に関するご相談は、Web予約またはお電話にて承っております。
[ >> Webでのご予約はこちら ]
