医療法人 西村歯科心斎橋診療所

06-6253-2900

9:30〜18:00(日・祝は除く)

menu close

2025.04.16コラム

上の奥歯2本のインプラント治療

上の奥歯(上顎大臼歯)の2本がない場合の治療方法、治療期間、費用はどうなるのか?

上の奥歯(上顎大臼歯)の2本がない口腔内

大阪市中央区心斎橋駅から徒歩1分にある西村歯科心斎橋診療所、院長の秦です。

今回は実際の患者さんのケースから、ホームページをご覧の方で歯がなくてインプラント治療をしようか悩んでいる方の参考になれば幸いです。

今回のケースは70歳代の女性で噛みにくくてインプラント治療を希望されて来院されました。

左右ともに欠損していますが、今回は左上(写真を見て向かって右側)の歯が欠損しているところを中心に記したいと思います。

インプラント治療のケース紹介

1.インプラント治療の適応診査

まずインプラント治療が適応なのかどうかの診査をします。

インプラント治療は外科処置になりますので、服用しているお薬やお身体の状態を問診します。

昨今70歳以上の女性の中には骨粗鬆症治療薬を服用されている方がいらっしゃいます。

骨粗鬆症治療薬を服用していると、MRONJ(薬剤関連顎骨壊死)が起きる可能性があります。

MRONJになる可能性は決して高くはありませんが、毎月骨粗鬆症治療薬を注射している方が最もリスクが高く、次に3年以上服用されている方が高くなります、

部位では上顎より下顎の方が高くなります。

今回の患者さんは全身疾患もなく、健康な方でした。

2.レントゲンとCT撮影による骨の状態確認

次にレントゲン撮影をしてインプラントが入るかどうか骨の量を検査します。

インプラント治療前のレントゲン写真

一般的な歯科医院でも撮影するパノラマレントゲン写真を撮影し、処置必要な部位だけでなく、お口の中の全体像を把握します。

パノラマレントゲンでは全体像を把握することには優れていますが、1歯ずつの詳細はよく分かりませんので細かく部位ごとにレントゲンも撮影します。

細部のレントゲン写真

仮に欠損部位にインプラント治療ができたとしても噛み合う歯の状態が悪ければ痛くて噛むことができません。

また隣にある歯の状態も診査します。

3.口腔内写真と歯科用CT撮影による3D診断

口腔内写真を撮影します。

処置前の状態を記録することは治療前、治療中、治療後にも非常に重要な役割を果たします。

CT画像

歯科用CT撮影をいたします。

レントゲンでは2次元的な平面の情報を頭で立体的に想像し診断する必要がありますが、CT画像では3次元的な立体的な診断が可能になります。

3次元的な情報から診断することで、インプラント手術前に起こりうることを理解し、準備ができるためより安全に治療ができるようになります。

その他当院では、歯周精密検査、姿勢写真、唾液検査、噛み合わせの検査を行います。

CT画像

この時重要なのは、治療するためだけではなく、治療後のメインテナンス、再び悪くならないための予防を考えた診査と診断をいたします。

資料採得が終了した後、後日、診断と治療計画をご説明いたします。

治療計画のご説明の際には担当歯科医師とトリートメントコーディネーターが担当いたします。

トリートメントコーディネーターについては下記をご参考にしてください。

西村歯科心斎橋診療所では患者さんのお声を大切にいたしております。

こちらからのご提案を強く勧めることはなく、患者さんとご相談した上で納得して治療を受けられるようにいたします。

説明内容や治療計画にお悩みの場合は再度、説明をする時間を設けます。

ご本人だけで決断できない場合は、ご家族もご同伴いただくことも可能です。

ではそれでは治療へ!ではなく、歯科衛生士によるブランシング指導と予防歯科プログラムを受診していただきます。

お口の中の清掃状態を良い状態にし、治療がスムーズに行える環境を整えます。

インプラント治療のカウンセリング

4.骨造成が必要な場合

診断の結果、インプラントを維持するだけの骨がないことがわかりました。

レントゲン写真
レントゲン写真

インプラントを維持するだけの骨がない場合、骨造成が必要になります。

骨造成の方法はGBR法、ソケットリフト、サイナスリフト(上顎洞挙上術)があり、このケースにおいては、インプラント体の長さを維持するための骨量を多く造る必要があるため、サイナスリフトが必要となります。

骨造成についてはコラムの”インプラントをしたいけど骨がない場合”をご参照ください。

サイナスリフトの方法

サイナスリフト(上顎洞挙上術)とは、副鼻腔の一つである上顎洞の中に骨を造る方法です。

上顎洞粘膜を挙上して空間を作ります。

その間に人工骨を入れることで骨を造成することができます。

上顎洞には骨が出来やすい環境であるため、慎重に処置することができれば、サイナスリフトは多くの骨を造ることができる非常に確立された手術法です。

適応には慎重な診断が不可欠です。

私の場合は本当に適応であるのかを何回もCT画像を見直し、診断いたします。

同時埋入手術の実施

このケースにおいては本来の骨が3mm以上ありましたので、サイナスリフトとインプラントを入れる手術を同時にいたしました。

患者さんのことを考えますと、できるだけ手術回数は少なくしたいと思いますのでサイナスリフト同時埋入を選択しました。

骨の量によってはインプラントを埋入する手術を同時に出来ないこともあります。

回数少なくすることが患者さんのためと考えてリスクを負った手術は致しません。

もし上手くいかなかった場合も想定し、できるだけ患者さんに負担がかからない方法でリカバリーできることを考えて手術法を選択するようにします。

サイナスリフト同時埋入

サイナスリフトと同時にインプラントを2本埋入しています。

費用 サイナスリフト(上顎洞挙上術) 33万円

   インプラント埋入料金(2本)  66万円

5.手術後の経過確認

手術後のパノラマレントゲンです。

左上(写真に向かって右側)が処置をした部位です。

当院ではインプラント手術の次の日に患者さんにご連絡させていただいております。

インプラント手術を数回経験されている患者さんなら手術後の症状についての経験がございます。

初めてインプラント手術を受けた患者さんはどのような症状が出るのか、経過を経験したことがありません。

そのため西村歯科心斎橋診療所では後日に連絡させていただき、痛みがないのかどんな症状が出ているのか、そのまま経過を見ていていいのかなどの不安を解消するためにも担当医がお電話をいたします。

基本的にインプラント手術後に強い痛みが出ることはありません。

インプラント治療の費用と治療期間

インプラントを骨が結合する期間を設けます。

インプラントは”板に打ったネジ”ではなくて”骨と結合する=osseointegration)することで噛めるようになる治療法なので、骨とインプラントが結合するには適切な期間、インプラントに力がかからないようにする必要があります。

このケースにおいては3ヶ月治癒期間後に仮の歯を装着します。

上の奥歯(上顎大臼歯)の2本がない口腔内

インプラント仮歯

インプラント仮歯 66000円

インプラントの仮歯は重要な役割をします。

歯が無い頃は噛めない方の頬は内に入り、舌は外に広がります。

そこに急に歯ができるので、最初は頬を噛んだり、舌を噛んだりします。

1〜2週間ほどでその症状はほとんどなくなります。

それが口に起きる変化なのです。

治療期間と回数

噛むための咀嚼筋の活動にも変化が起きます。

そんな変化が安定するのは2〜3ヶ月必要です。

その間問題なく使えるように仮歯を歯科技工士に作成していただく必要があります。

たかが仮歯、されど仮歯。

当院ではインプラント治療において必ず仮歯を作成し使用していただく期間を頂いております。

インプラント治療後のレントゲン写真

今回ご紹介させていただいた症例は他の歯にも問題があり、噛み合わせが不安定な方でした。

治療前からその必要性をご説明させていただき治療を同時に進行いたしておりました。

全顎的な治療になりましたのでその他の歯の治療に関しては今回は割愛させていただきます。

インプラント最終上部冠

インプラント最終上部冠  33万円

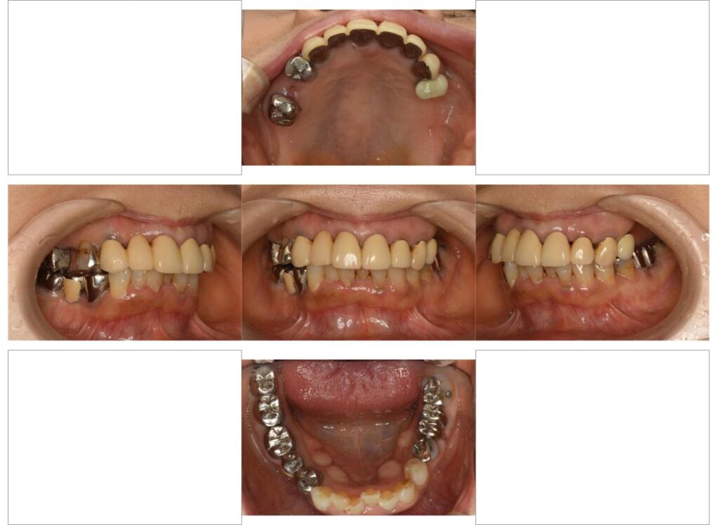
インプラント治療後の口腔内写真
インプラント治療後の部位ごとに撮影したレントゲン写真

治療期間は1年8ヶ月

回数   53回

全顎治療出ない場合の治療期間は9ヶ月、来院回数は10回ほどになります。

全ての補綴冠はLicca Labにて作成していただいております。

また補綴冠を本着する前に担当歯科衛生士にて清掃性の確認もいたしております。

いくら綺麗な補綴冠が装着されたとしても歯ブラシ、歯間ブラシでの清掃性が悪ければ虫歯になったり、歯周病しなったり、インプラント周囲炎が発症するリスク因子となります。

せっかく一生懸命に通って治療をしたとしても長く持つことはありません。

西村歯科心斎橋診療所では患者さんと長くお付き合いする中で安心してお過ごしいただけますように、各部門が責任を持って担当しております。


WEB予約
LINE友達追加 24WEB予約 06-6253-2900